Help, mijn hond heeft een vishaak ingeslikt!
Dit is een veelvoorkomend spoedgeval, met name in de zomer. Het allerbelangrijkst is om NIET AAN DE DRAAD TE TREKKEN! Als er nog een vislijn aan de haak vast zit is het belangrijk deze los te knippen van de hengel, en het liefst met een stukje plakband of tape aan de buitenzijde van de hond vast te maken, door bijvoorbeeld aan de halsband of op de vacht te plakken.
Het is belangrijk hier geen grote spanning op te laten komen, of aan te trekken. Op moment dat er aan de lijn getrokken wordt is de kans zeer groot dat het haakje verkeerd terecht komt – je trekt dan met de scherpe punt de verkeerde kant op. Vaak trekt dat zich diep in de slijmvliezen van de keel, slokdarm of maag. Dit maakt de verwijdering veel lastiger door de weerhaken die aan de haak zitten. Bovendien bestaat dan ook de kans dat een ader of slagader die zich rond de slokdarm bevinden geraakt kunnen worden door de vishaak, dit kan helaas de dood veroorzaken.
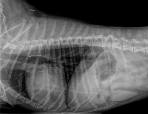
Het is belangrijk dan naar de dierenarts te gaan om röntgenfoto’s te laten maken om te kijken waar de vishaak zich bevindt en hoe deze het best verwijderd kan worden. In sommige gevallen is dit mogelijk via endoscopie (kijkoperatie). Echter soms zit de haak zo diep of zo vast dat het niet mogelijk is deze middels endoscopie te verwijderen en moet dit operatief gebeuren.
Vishaak in de slokdarm – zeer dicht bij luchtpijp en grote bloedvaten. Succesvol verwijderd door middel van endoscopie bij het MCD.
