Regurgiteren
Soms lijkt het alsof een dier braakt zonder dat er echt tekenen zijn van misselijkheid of actieve buikpers. Dit wordt regurgiteren genoemd. Het is een ander symptoom dan braken, maar kan soms wel vergelijkbare oorzaken hebben (bijvoorbeeld ontsteking van het maagdarmkanaal).
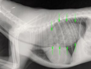
Er kunnen ook hele andere oorzaken spelen dan bij braken, zoals een afwijkende functie van de slokdarm (verlamming), zoals bij megaoesofagus, een strictuur van de slokdarm of een divertikel van de slokdarm. Bij jonge pups en kittens kan er ook sprake zijn van een aangeboren afwijking van de bloedvaten waardoor er een afsnoering van de slokdarm wordt veroorzaakt (persisterende rechter aorta boog – PRAA). Deze pups en kittens groeien vaak slecht omdat een groot deel van het eten terug omhoogkomt, en ze hebben vaak een longontsteking. Dit is een aandoening die operatief kan worden verholpen waarna in de meeste (maar helaas niet alle) gevallen de slokdarm weer een normale functie terugkrijgt.
Wijd openstaande verlamde slokdarm (megaoesofagus)
Bij regurgiteren worden de stembanden vaak niet goed dichtgeknepen omdat het plotseling gebeurt (in tegenstelling tot braken) – en dit kan als gevolg hebben dat een dier zich verslikt en een deel van het materiaal inademt. Dit veroorzaakt een longontsteking. In de meeste gevallen is dan antibiotica nodig, maar niet altijd. Deze longontstekingen komen vaak voor bij dieren met een megaoesofagus of een PRAA.
Bij regurgiteren is verder onderzoek belangrijk. Afhankelijk van eventuele andere klachten kan dit bestaan uit röntgenfoto’s van de thorax (om te evalueren voor een megaoesofagus en PRAA, maar ook de complicatie van een longontsteking), een echo van de buik, bloedonderzoek en in sommige gevallen een slikfilm. Een verwijzing naar de internist kan nodig zijn voor een behandelplan op maat.
