Vreemde voorwerpen in maag of darmen
Dieren eten soms rare dingen. Sommige voorwerpen worden gewoon weer uitgepoept. Andere zaken kunnen wel schade veroorzaken. Dan kan beter de dierenarts ingeschakeld worden. Geef nooit ontbijtkoek als inhullend middel. Het helpt niet maar het kan een oplossing (zoals een endoscopie) wel onmogelijk maken. Lees hier wat u het beste kunt doen als uw dier een raar voorwerp heeft ingeslikt.

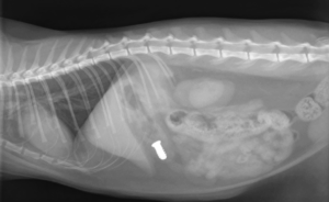
Kat die een schroef heeft ingeslikt -deze bevindt zich op de röntgenfoto in de maag, omdat het risico te groot werd ingeschat dat het vast zou kunnen lopen in een darm is tijdens een endoscopie de schroef verwijderd.

Schroef in de maag van een kat. Deze is succesvol verwijderd door middel van een endoscopie op het MCD.
Wat u wel kunt doen als een hond of kat een vreemd voorwerp heeft ingeslikt:
Als uw hond of kat geen klachten vertoont
- Afwachten
Afwachten is een optie maar ALLEEN bij kleine voorwerpen die niet scherp zijn. Als een dier geen last heeft van een doorgeslikt bot, kan die het best in de maag blijven zitten. In de meeste gevallen lost het bot vanzelf op. Als een voorwerp het klem zit in de slokdarm of als uw hond of kat duidelijke klachten heeft, mag u nooit afwachten! Een kat die een touwtje opeet laten we ook niet afwachten, omdat de kans groot is dat de darmen zich rond het touwtje gaan opstropen. - Laten braken
Laten braken is een optie als het voorwerp in de maag zit, niet scherp is, maar mogelijk wel problemen kan geven. Laten braken is een mogelijkheid bij speelgoedbeesten, ballen, magneten, sokken, touwtjes die net zijn opgegeten en kleine stenen. Omdat zachte plastic speeltjes in de maag hard kunnen worden is het beter om een dier te laten braken dan om af te wachten. Lees verder bij hond laten braken of kat laten braken - Endoscopie (een kijkonderzoek)
Endoscopie is nodig bij scherpe voorwerpen (saté prikkers) of voorwerpen die te groot zijn om de maag en darmen op een normale manier te passeren, of voorwerpen die niet uitgebraakt worden (sokken, touwtjes, stenen, balletjes mits niet te groot). Ook scherpe voorwerpen als vishaken kunnen het best zo spoedig mogelijk endoscopisch worden verwijderd. Ingeslikte magneten en batterijen halen we ook het liefst zo snel mogelijk uit de maag. Als ze al in de darm zitten, is het goed om de patiënt goed in de gaten te houden en zo nodig het voorwerp met röntgenfoto’s te volgen. Ook voorwerpen die niet uitgebraakt worden kunnen soms verwijderd worden met een endoscopie. Lees verder bij endoscopie - Chirurgie
Een operatie is nodig voor het verwijderen van grote en /of scherpe voorwerpen uit de maag en bij het verwijderen van meerdere scherpe voorwerpen uit maag en darmen (bijvoorbeeld na het doorslikken van meerdere spelden), of als endoscopie niet mogelijk is en afwachten geen optie is (bijvoorbeeld als na het doorslikken van het vreemde voorwerp ontbijtkoek is gegeven).
Als uw hond wel klachten vertoont
- Afwachten is vaak een slecht advies
- Als het dier zelf al braakt, heeft het geen zin om iets te geven om braken op te wekken
- Vreemde voorwerpen kunnen vastlopen in de slokdarm. De druk op de slokdarm kan binnen 24 uur leiden tot ernstige schade. Meestal is het mogelijk vreemde voorwerp met endoscopie te verwijderen. Dit is een spoedingreep.
- Als een vreemd voorwerp vastloopt in de uitgang van de maag of in de darmen is een spoedoperatie vaak nodig.
Vreemde voorwerpen kunnen vaak worden verwijderd met een kijkonderzoek. Geef uw hond of kat daarom geen eten nadat ze iets raars hebben doorgeslikt
